Ästhetische Zahnmedizin in Portugal
Perfektionierung Ihres Lächelns nach der Kieferorthopädie

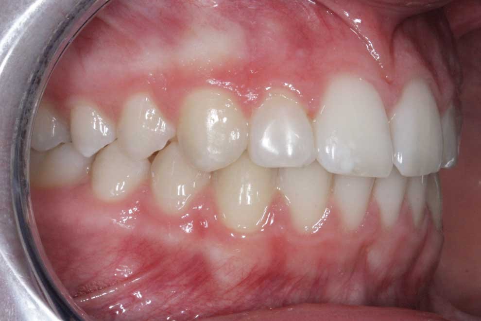
Ästhetische Zahnmedizin
Komposit-Restaurationen
Komposit ist ein zahnfarbener Werkstoff zur Reparatur und Verschönerung von Zähnen. Er eignet sich ideal für:
- Das Auffüllen kleiner Absplitterungen oder Risse.
- Das Ausgleichen unregelmäßiger Kanten.
- Das Schließen kleiner Zahnlücken.
Diese minimalinvasive Behandlung sorgt für ein natürliches Ergebnis und fügt sich nahtlos in Ihr Gebiss ein.
- Stark beschädigte oder verfärbte Zähne zu restaurieren.
- Zähne mit ungleichmäßigen Oberflächen zu überdecken.
- Ein perfekt ausgerichtetes, natürlich wirkendes Lächeln zu schaffen.

Ästhetische Zahnmedizin
Keramikkronen und Veneers
Keramische Lösungen bieten Langlebigkeit und ein äußerst ästhetisches Erscheinungsbild. Sie werden häufig verwendet, um:
Keramische Behandlungen werden individuell für Ihre Zähne angefertigt und sorgen für eine perfekte Passform und Ästhetik.


