Cuidados Ortodônticos em Portugal
Problemas ortodônticos associados a dificuldades respiratórias e apneia do sono

Problemas Respiratórios
Maloclusão Classe II
Nos casos em que a mandíbula (maxilar inferior) é pequena ou subdesenvolvida (retrognática), a língua tende a repousar mais para trás, obstruindo parcialmente as vias respiratórias.
Impacto na respiração:
Esta posição recuada da língua pode levar à apneia obstrutiva do sono, especialmente durante o sono, quando os músculos relaxam, estreitando ainda mais as vias respiratórias.

Problemas Respiratórios
Maloclusão Classe III
Quando a mandíbula está muito projetada para frente (protrusão mandibular) ou o maxilar superior é subdesenvolvido (retrusão maxilar), pode criar um desequilíbrio na estrutura orofacial, afetando as vias respiratórias.
Impacto na respiração:
Esta condição está menos associada à apneia do sono do que a Classe II, mas ainda pode contribuir para dificuldades respiratórias, especialmente se o maxilar restringir as vias nasais.

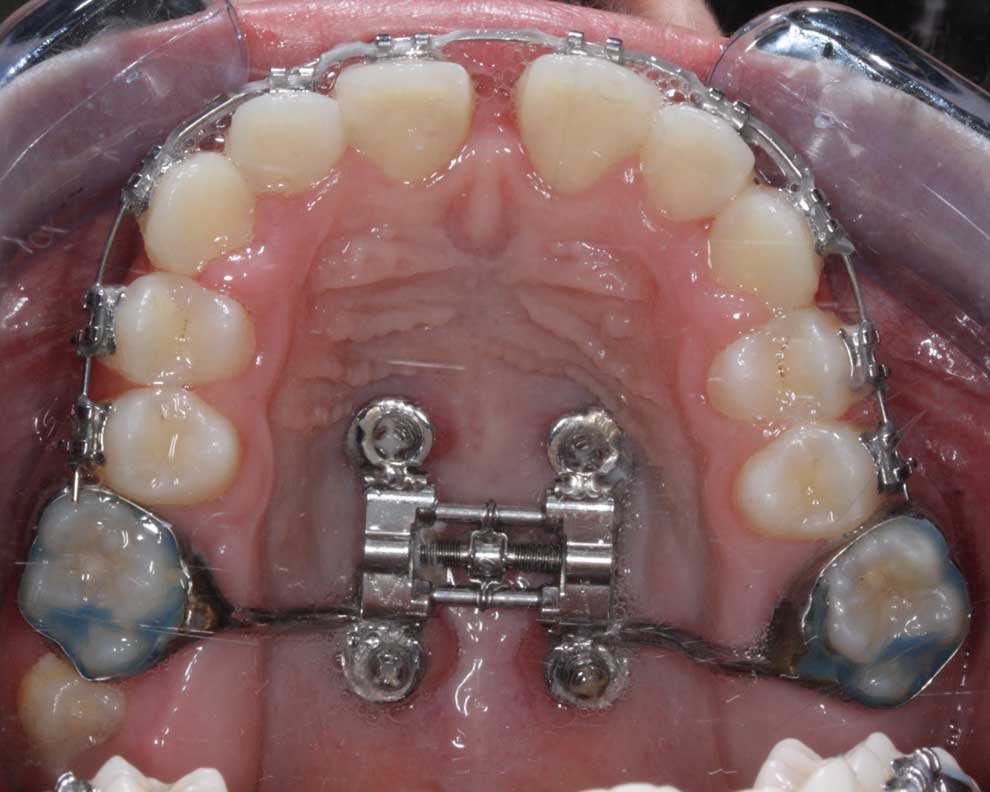
Problemas Respiratórios
Maxila Estreita
Uma maxila estreita ou subdesenvolvida reduz o espaço na cavidade nasal e nas vias aéreas superiores.
Impacto na respiração:
Uma maxila estreita muitas vezes obriga as pessoas a respirar pela boca, pois o fluxo de ar nasal fica restrito. Isso pode resultar em apneia obstrutiva do sono (AOS) em alguns casos. Os sintomas relacionados incluem ronco, respiração bucal crônica e baixa qualidade do sono.
Expansores como MARPE (Expansor Rápido do Palato Assistido por Miniparafuso) para adultos e Hyrax para crianças ajudam a alargar a maxila, melhorando o fluxo de ar nasal e aliviando os sintomas.

Problemas Respiratórios
Mordida Aberta
Mordidas abertas frequentemente resultam de hábitos como empurrar a língua ou respirar pela boca, o que pode alterar o crescimento natural da região orofacial.
Impacto na respiração:
A respiração bucal é tanto uma causa quanto um sintoma, pois impede que a língua mantenha sua postura natural contra o palato. Com o tempo, isso pode levar ao estreitamento das vias aéreas.

