Correcting misaligned teeth and bites in Portugal
Bite Issues Explained: From Overjet to Crossbite

Misaligned bites
Crossbite

A crossbite occurs when one or more upper teeth fit inside the lower teeth instead of outside when biting down. This can involve a single tooth or multiple teeth, affecting either the front or back of the mouth.
Why it matters:
Can cause uneven tooth wear, jaw discomfort, and facial asymmetry such as underbite appearance, if untreated.
Common causes:
Genetics, narrow maxilla, mandibular protrusion, mandibular protrusion or habits like prolonged thumb-sucking.
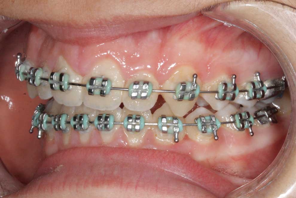
Treatment options:
Expanders, braces, or aligners to correct jaw alignment and tooth position.

Misaligned bites
Open Bite

An open bite occurs when the upper and lower teeth do not meet when the jaws/mouth close, leaving a noticeable gap.
Why it matters:
Affects chewing, speech, and jaw function.
Common causes:
Tongue thrusting, prolonged pacifier/thumb-sucking, or genetics.
Treatment options:
Habit correction therapies, braces, or aligners to close the gap and restore function.

Misaligned bites
Overbite

An overbite occurs when the upper front teeth vertically overlap the lower front teeth.
Normal vs. excessive: A normal overbite is 10–20%. Anything greater is called a deep bite.
Why it matters:
Deep overbites can cause premature tooth wear, jaw pain, issues with speaking and chewing difficulties.
Common causes:
Retrognathic mandible (Class II), genetics, or prolonged thumb-sucking.
Treatment options:
Braces or aligners to reduce the overlap.

Misaligned bites
Underbite

An underbite occurs when the lower teeth extend forward past the upper teeth when biting.
Why it matters:
Can lead to uneven tooth wear, jaw strain, and potential long-term effects on facial development.
Common causes:
Mandibular protrusion (Class III), retruded maxilla, or genetics.
Treatment options:
Expanders, braces, or surgical intervention for severe cases involving jaw alignment.

Misaligned bites
Overjet

An overjet is a horizontal gap between the upper front teeth and lower front teeth, with upper teeth protruding forward.
Why it matters:
May cause difficulties with biting, affects speech, and increased risk of trauma to the upper teeth.
Common causes:
Retrognathic mandible, maxillary protrusion, or habits like thumb-sucking.
Treatment options:
Braces, aligners, or appliances like functional regulators to address the jaw or teeth positioning.


