MARPE & Hyrax - Gently expanding upper jaws
MARPE & Hyrax: Treating Narrow Maxilla, Crowded Teeth and Breathing Issues

Non-invasive – Ideal for Growing Children
Hyrax – Early Intervention for a Narrow Maxilla

The Hyrax expander is a non-invasive orthodontic solution for children, designed to gently widen the upper jaw while it is still developing. By applying gradual pressure, it guides natural bone growth, helping prevent crowded teeth, misalignment, and breathing issues. Since the jaw bones are more adaptable at a younger age, early treatment with Hyrax ensures long-term stability and optimal facial development.
- Ideal for growing children
- Non-invasive palatal expansion
- Encourages natural jaw growth
- Improves facial symmetry and nasal breathing
- Helps prevent future orthodontic issues
- Best for teens and adults
- Minimally surgical palatal expansion
- Expands mature jaw structures
- Improves facial symmetry and nasal breathing
- Reduction in the severity of Obstructive Sleep Apnea

Specialized Solution for Skeletal Expansion
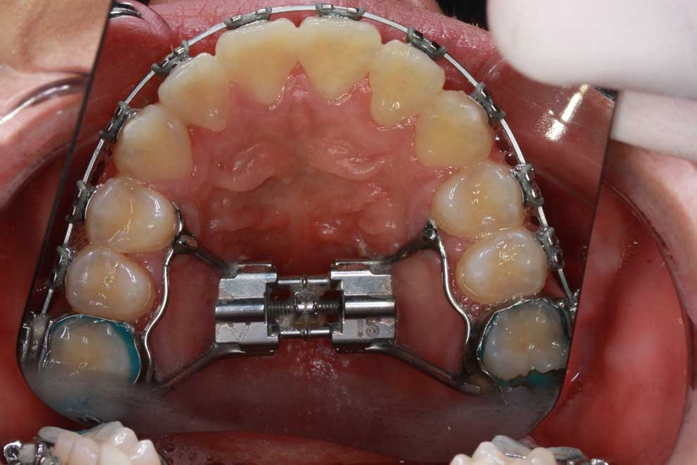
MARPE – Expansion for a Narrow Maxilla

MSE-system MARPE (Mini-Screw Assisted Rapid Palatal Expansion) is designed for teens and adults, where the Hyrax expanders are no longer effective due to a fully developed skeletal structure. Using mini-screws anchored in the bone, MARPE widens the maxilla safely and efficiently, improving breathing, dental alignment, and facial symmetry. Although slightly more invasive than Hyrax, it remains a minimally surgical alternative to jaw surgery.
Understanding MARPE: An Effective Solution for Palatal Expansion in Portugal
If you’re seeking orthodontic treatments for a narrow upper jaw, breathing difficulties, sleep apnea or crowded teeth, MARPE (Mini-Screw Assisted Rapid Palatal Expansion) might be the perfect solution. MARPE offers a modern approach to palatal expansion for teenagers and adults with fully matured bones, providing benefits that traditional expansion devices cannot achieve. For patients in Portugal, especially in the Algarve (Carvoeiro and Lagos) and Lisbon region (Ericeira), consultations for MARPE treatment are now available in German, English, Spanish, and Portuguese—making this innovative option accessible and convenient for a diverse clientele.
What is MARPE?
MARPE is a unique orthodontic treatment developed to correct upper jaw issues by widening the palate. The procedure is less invasive compared to surgical options and is achieved by attaching small, temporary screws to the upper jaw bone, which then gradually expands the palate. Unlike conventional palatal expanders that primarily rely on dental anchorage, MARPE’s mini-screws anchor directly into the bone, allowing for a more stable and effective expansion—ideal for teens and adults whose bones are less flexible than those of younger children. This innovation in orthodontics has made MARPE one of the leading solutions for jaw issues that require palatal expansion.
When Should MARPE be Considered?
MARPE is considered especially effective for:
- Narrow palate – When the upper jaw is too narrow, it can lead to misalignment with the lower jaw, causing an uncomfortable bite.
- Crowded teeth – If there isn’t enough space in the upper jaw, teeth can become crowded and may require additional expansion to create room for proper alignment.
- Crossbite correction – MARPE is also helpful for correcting crossbites, which can lead to uneven tooth wear, gum problems, and jaw pain.
- Breathing difficulties – A narrow palate can restrict the nasal airway, leading to mouth breathing and, in some cases, sleep-related issues like snoring or sleep apnea.
If you are experiencing any of these issues, schedule your MARPE consultation with me in Carvoeiro, Lagos, or Ericeira, and I will help you achieve the results you need.
The Treatment Process
The MARPE process is designed to be minimally invasive, straightforward, and tailored to each patient’s unique needs. Here’s a step-by-step overview of what to expect:
- Initial consultation: During this phase, your orthodontist will assess whether MARPE is the best option for you. Digital imaging will be used to evaluate your upper jaw’s structure and determine the placement for the mini-screws.
- Placement of mini-screws: Once you’re confirmed as a suitable candidate for MARPE, the orthodontist will insert small screws into the palate. This procedure is generally comfortable and minimally invasive.
- Expansion phase: After the screws are placed, you’ll begin the expansion phase. A device will apply gentle force to gradually widen the palate over a period of several weeks, monitored by your orthodontist.
- Retention phase: Once the desired width is achieved, you’ll enter a retention phase to ensure the jaw maintains its new shape.
The Benefits of MARPE
MARPE offers several benefits for both dental health and overall quality of life, making it an increasingly popular treatment in Portugal. Here are some of the main advantages:
- Enhanced dental alignment: MARPE creates additional space in the upper jaw, helping teeth align more naturally. This can eliminate the need for extractions or complicated orthodontic procedures, resulting in a more balanced bite and easier future dental work.
- Improved airway and breathing: One of the most transformative benefits of MARPE is the effect on breathing. By widening the upper jaw, MARPE can create more space in the nasal cavity, making it easier to breathe through the nose. Many patients experience relief from sleep issues like snoring, mouth breathing, and mild sleep apnea.
- Better facial symmetry: Expanding the upper jaw can lead to better facial proportions, giving patients a more balanced appearance. Improved jaw alignment can also reduce jaw discomfort, headaches, and other pain associated with misalignment.
- Higher quality of life: With better breathing, balanced bite alignment, and improved facial symmetry, MARPE treatment offers a significant enhancement to the quality of life, confidence, and day-to-day comfort for patients.
Is MARPE right for you?
If you’re an adult or teenager struggling with crowded teeth, a narrow palate, breathing problems, or crossbite issues, MARPE could provide the transformative change you need.


